みずほ歯科クリニックアイコン

定期検診・メンテナンス|瑞穂市の歯医者

みずほ歯科クリニック

みずほ歯科クリニック

みずほ歯科クリニックアイコン

瑞穂市の歯医者

みずほ歯科クリニック

みずほ歯科クリニック

みずほ歯科クリニック

定期検診・メンテナンス

「歯は毎日使うもの」だからこそ
あなたに合ったメンテナンスと定期検診を

将来のお口の健康を守るため、定期的な検診とメンテナンスはとても大切です。瑞穂市の歯医者 みずほ歯科クリニックでは、虫歯や歯周病のリスクを理解していただき、ご自宅と歯科医院でのダブルケアによる予防を通してお口の健康をサポートしていきます。

定期的な検診・メンテナンスを
続けることには
このようなメリットがあります

Merit01
生涯にかかる医療費
少なくできる

Merit02
全身の健康寿命
延ばせる

Merit03
再治療のリスク
軽減できる

Merit04
将来の選択肢
増える

Merit05
治療が必要な場合も
治療期間短く済む

「歯が痛くなってから歯医者に行く」のではなく、
「痛くなる前・トラブルが起きる前」にメンテナンスを受けることで、
早期発見・治療を実現し、身体的・時間的な負担の軽減にも繋がります。

みずほ歯科クリニックの
定期検診・メンテナンス

視覚的に分かりやすい説明
01

写真や動画を用いた
視覚的に
分かりやすい説明

瑞穂市の歯医者 みずほ歯科クリニックでは、患者さまにお口の現状を理解していただくため、専門用語をなるべく使わず、わかりやすい言葉でご説明しています。

また、口頭でお伝えするだけでは理解しづらい部分もあるため、検査結果のデータや、写真や動画などを用いた視覚的にもわかりやすい説明を心がけています。

患者様ご自身がお口の状態を正しく理解することで、より効果的なケアに繋がり、予防効果が高まります。
視覚的に分かりやすい説明
お一人おひとりに合った予防方法
02

お口の傾向から導く
お一人おひとりに
合った予防方法

当院では、虫歯や歯周病などのお口のトラブルを防ぐために、検査とカウンセリングを通じてお口の状態を丁寧に把握します。

歯周病検査やレントゲン、噛み合わせのチェックなどを行い、食生活や生活習慣のヒアリングも踏まえて、虫歯・歯周病の“なりやすい傾向”を診断します。

その結果に基づき、一人ひとりに合った予防方法をご提案し、根本から改善を目指します。必要な予防ケアは人それぞれ異なるため、検査と対話によって本当に必要なケアを導き出すことが重要だと考えています。
お一人おひとりに合った予防方法
予防プログラムを導入
03

5ステップで
結果が出る
予防プログラムを導入

瑞穂市の歯医者 みずほ歯科クリニックでは、科学的根拠に基づいた、虫歯に特化した予防プログラムを導入しています。

虫歯について知ること、正しい歯磨き、フッ化物の活用、糖や酸の接種のコントロール、ドライマウスの解消といった5ステップのアプローチと、その後のメンテナンスでお口のトラブルを予防します。
予防プログラムを導入
お口に合ったケアグッズの処方
04

お口に合った
ケアグッズの処方と
効率的な使い方の
アドバイス

お口の健康を維持するには、歯科医院での定期検診だけでなく、ご自宅でのセルフケアが欠かせません。

効果的なセルフケアを行うためには、自分に合ったケアグッズを選ぶこと、ケアグッズの正しい使い方を身につけることが大切です。
歯ブラシの頭の部分の大きさや毛の硬さ、歯磨き粉の種類など、患者様のお口に適したケアグッズを処方いたします。
お口に合ったケアグッズの処方

歯科医院とご自宅の
「ダブルケア」が大切

歯科医院とご自宅の「ダブルケア」
将来にわたって、健康なお口の状態を保つために、定期的な歯科医院での検診とご自宅でのセルフケアのダブルケアでサポートしていきます。

瑞穂市の歯医者 みずほ歯科クリニックでは、患者さまに正しく効率的な方法で行っていただけるセルフケアの方法と、歯科医院で行うプロフェッショナルなケアで、虫歯や歯周病といった、お口のトラブルを予防していきます。
お口のケア・健康管理

当院で行う
お口のケア・健康管理

ヒアリング
ヒアリング
お口について気になること、普段の生活習慣や食生活についてお伺いしています。虫歯や歯周病のなりやすさは家庭環境とも関係するため、ヒアリングを通して傾向を把握していきます。
視診
視診
直接目で見て、口腔内の状態を確認していきます。
歯の表面の変色具合や穴が開いているかどうかで虫歯があるかをチェックし、歯茎の腫れや出血があるかを見て、歯周病の評価も行います。
歯周病検査
歯周病検査
歯周ポケットとよばれる、溝の深さを測定し、歯周病の有無や状態を確認していきます。出血の有無や、歯の揺れがあるかの動揺具合を調べていきます。
かみ合わせ検査
かみ合わせ検査
上下の歯のかみ合わせが悪いと、一部の歯にだけ力が集中し、痛むことがあります。そのため、全体のバランスを見るため、咬合紙とよばれる紙を噛んでいただき、歯の接触点を確認し、噛み合わせのバランスを評価します。
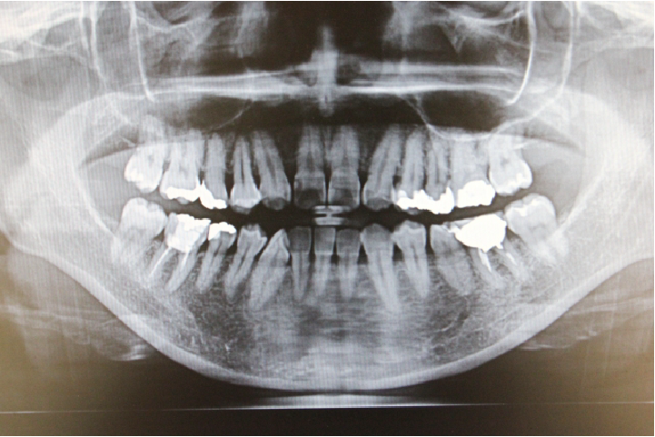
レントゲン検査
レントゲン検査
虫歯の有無に限らず、肉眼では見えない骨の状態や、埋まっている親知らずやお子さんの永久歯の数など多くのことが確認できます。そのため、治療だけでなく、検診やメンテナンスにおいても非常に大切な検査になります。
お口のケア・健康管理

ご自宅で行っていただく
セルフケア

歯科医院でアドバイスする
正しい磨き方を実践しましょう

歯科医院でのメンテナンス時にお伝えする、正しいブラッシングをご自宅でも実践していただきたいと思っています。磨き方は、習慣化していてその人の癖があるため、すぐに改善することはできません。そのため、一度ご自宅で実践していただき、その後の検診内容を考えるためにも、難しいと感じたポイントを次回の検診で教えてください。

WEB予約はこちら